Kinetic Dental Aesthetic laboratory
604-609-6090
kineticlaboratory@gmail.com
Menu
Home
About us
Our Facilities
Products
Crown & Bridge
IPS e.max
Full Cast
PFM
Zirconia
PMMA
Implants
Abutments
Implant Brands
Implant Restorations
Dentures
Digital Dentures
Implant Dentures
Flexible Partials
Acrylic Partials
SLM Framework
Repairs & Relines
Planning & Surgical Guides
Tooth-Supported Surgical Guides
Tissue-Supported Surgical Guides
What’s New
Links
Services
Pick Up & Deliveries
Production Time
Warranty
Patient Services
Download / Upload
Submit a Digital Case
Gallery
Event
Upcoming Lectures
Blogs
Contact
Job Opportunities
Gallery
Home
>
Gallery
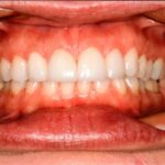
This is a real case with ERA attachment
This is a real case with ERA attachment